
近年来,随着电子产品的普及,越来越多的人开始出现眼部疾病. 全世界至少有22亿人的视力或失明有障碍. 中国的近视眼数量超过世界的1/4,近视眼的形式尤为严重. . 蓝光是对电子产品造成眼睛伤害的重要因素之一. [1]根据中华医学会眼科分会的数据,中国4.2亿互联网用户中有63.5%的人由于蓝光,辐射,白内障和失明而导致视力障碍. 眼疾. 为了了解蓝光的影响,近年来,科研人员进行了大量的临床和基础实验研究,现在对蓝眼受伤的动物,体外培养的细胞和真实的人进行研究.
1蓝光辐射的动物实验研究
早期,对蓝光损伤的研究主要是针对动物,主要是大鼠,兔子,猕猴,小鸡和其他动物. 近年来,他们开始使用新开发的高度相关的树sh研究蓝光辐射对动物视网膜,眼轴和昼夜节律的影响.
对小鼠的研究: 视网膜是吸收光并产生视觉的重要组织. 蓝光进入眼睛后,视网膜是最脆弱的部分. 蓝光对小鼠视网膜的影响研究. [2] 1995年,Gorgels等. 照射窄带波长320-440nm的大鼠,视网膜感光细胞显示核收缩;对视网膜色素上皮细胞和感光细胞的损伤为470nm. 蓝光照射显示出蓝光损坏视网膜的迹象. 蓝光不仅会损害视网膜,还可能导致黄斑变性的发生率很高. [3] Wu等人在1999年的研究表明,蓝光引起的视网膜损伤引起的视网膜形态变化类似于年龄相关性黄斑变性(AMD)的萎缩性变化.
视网膜上有第三种类型的感光细胞ipRGC,它对蓝光刺激极为敏感. 该光将触发ipRGC细胞产生抑制褪黑激素分泌的信号. 褪黑素(MLT)作为眼睛中重要的神经内分泌激素和近视相关因子,在近视的发生和发展中起着重要作用. [4] 2010年,王宝珍等. 研究了豚鼠形式剥夺性近视(FDM)模型,发现褪黑激素在豚鼠视网膜上的表达在8周后显着降低. [5] 2011年,尹良瑶等人的研究发现,豚鼠剥夺性近视形成过程中褪黑激素的浓度会降低. 向豚鼠注射褪黑激素10mg·kg-1和20mg·kg-1时,发现其抑制了体剥夺性近视(FDM),并降低了豚鼠的屈光度,眼轴长度和MT1(褪黑素受体亚型)受体的表达. 猪向近视相反的方向反转并发育.
人们注定要继续衰老,在此过程中产生的脂褐素(老化色素)的浓度将继续增加,并且研究表明,在脂褐素的存在下,过量的电子蓝光照射会加速细胞死亡. [6]在2019年,林成辉等人向大鼠的眼睛注射了30μM的脂褐素,然后暴露在蓝光下,发现ERG(视网膜电图: 测量视网膜光反应的电信号)的a和b峰值降低脂褐素和蓝光的照射更大,这将加速视网膜感光细胞,视网膜色素上皮细胞和双极细胞的损伤. 关于这一领域的研究,目前尚无许多实验研究. 在脂褐素存在下,蓝光是否真的能加速细胞死亡,还需要更全面,更深入的研究.

防蓝光眼镜是近年来流行的防蓝光文物. 研究人员已开始将防蓝光眼镜戴在小鼠的眼睛上,以试图探索这些功能性眼镜的护眼效果. [7] 2007年,金万庆等. 在大鼠的左眼和右眼进行了蓝光照射实验. 左眼放在镀膜的蓝色镜片上,右眼直接暴露在广谱蓝光下,而无需采取保护措施. 照射24小时后,右眼ERG a,下降后b波峰未恢复,左眼波峰未变化. 如果连续照射超过24h,2d和7d,用广谱蓝光照射大鼠的视网膜可能会造成不可逆的损害,而防蓝光眼镜可以通过减弱蓝光来保护视网膜上的细胞. 不同的防蓝光眼镜,其蓝光屏蔽率会有所不同,以多少为宜,也已被探索. [8] 2019年,上海同济大学医学院眼科和贵州省人民医院眼科刘欣等人研究了蓝光屏蔽率分别为40%,60%和80%的影响在大鼠的视网膜上发现,只要蓝光屏蔽≥60%,由白色LED引起的原始ERG a和b波峰就会减少,并且在14天之内该峰值可以恢复为原始值修复期,可以完全修复视网膜的光损伤.
对兔子的研究: [9] 1992年,Putting等人. 用400-500nm的蓝光和510-740nm的黄光照射兔子的眼睛. 结果,发现对兔子视网膜造成相同程度的损伤. 蓝光只需要黄光的强度的1/30. 食蟹猴的研究: [10]在2018年,食蟹猴在蓝光的光安全实验中的使用发现,经过两个月的12个小时的白光LED照度为1000 lux或更高,以及等效照度的蓝光LED照度为: 每天12小时,明亮和黑暗的视力,尤其是棒状细胞的活性开始下降.
树tree研究: 树sh是与人类关系最密切的动物. [11-12] 2017年,蒂莫西(Timothy)等人研究了短波长光对眼轴发育的影响,使树sh生活在稳定的蓝光下. 在蓝光闪烁下,两种蓝光环境都可能导致树sh的眼轴暂时变长,并出现假性近视. 在停止蓝光照射之后,可以恢复假性近视,但是继续闪烁由蓝光引起的假性近视度. 增长最终将发展成为真正的近视眼. 关于蓝光对眼轴发育的影响,还有另一种说法,即短波长蓝光可以延迟眼轴的生长.

[13]在2013年,福尔德和其他人将小鸡暴露在红光和蓝光的照射下. 结果,蓝色组的小鸡的远视力继续增加,而红色组的小鸡向近视发展. 2012年,钱一峰等. 比较了豚鼠在蓝光和白光下持续12周的情况,并比较了两种光照环境下眼轴的生长速度. 发现在蓝光下豚鼠的眼轴和玻璃体腔比白光组慢. 但是[14]在2017年,蒂莫西(Timothy)等人. 发现红光可以诱导幼树sh眼轴的生长,从而减慢并产生远视. 因此,蓝光可能不会延迟近视. 人眼不同于玉米眼. 小鸡具有人类和灵长类动物所没有的紫外线传感器. 其次,他们将白光视为单色光. 作为实验的对照组,它将违反实验. 统一的原理是蓝光比白光慢的原因可能是因为眼轴的增长因子缺失.

2体外培养的人视网膜细胞的蓝光实验研究
[15] 2005年,蔡善军等使用不同强度的蓝光在体外照射人视网膜色素上皮细胞(RPE)的时间不同,发现人视网膜色素上皮细胞具有凋亡,继发性凋亡和直接坏死的作用. 蓝光强度越强,照射时间越长,RPE细胞损伤越严重. [16] 2011年,傅敏等. 发现蓝光可以以时间依赖的方式诱导RPE细胞中活性氧的产生,并导致RPE细胞中DNA的氧化损伤. 蓝光刺激视网膜开始光氧化机制,形成严重的氧化反应,破坏人体正常的氧化还原稳态,并启动细胞凋亡机制,从而导致细胞死亡和损伤.
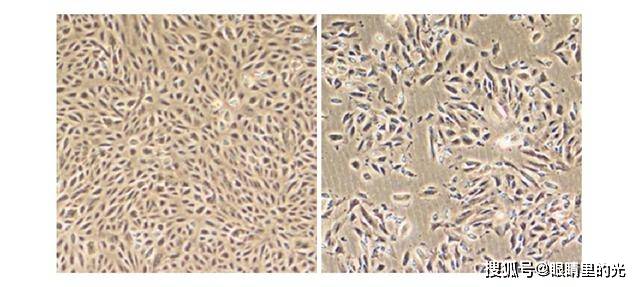
类似[17]在2016年,马英学等. 为了研究人视网膜色素上皮细胞分泌的外泌体与NLRP3炎性体之间的相关性,使用了距离细胞35cm处的波长为448nm±24nm的蓝色LED灯. 连续照射6h即可制成蓝光诱导的视网膜色素上皮细胞模型. 在光学显微镜下观察,发现正常的视网膜色素上皮细胞单层生长. 细胞呈梭形或多边形,成簇生长,如融合可能是典型的铺路石. 蓝光诱导的视网膜色素上皮细胞被光氧化损伤,增殖活性明显减弱. 在光学显微镜下,细胞肿胀,细胞体失去多边形形态,并且一些细胞体变长,显示成纤维细胞的形状,并失去正常的细胞形态. 可见450 nm以上的蓝光对视网膜色素上皮细胞有明显损害.

3电子产品蓝光对真实人的影响的实验研究
[18]在2018年,周进等人. 探索了光刺激对视网膜色素上皮细胞的影响,他们实际上模拟了普通人使用手机的习惯,并将智能手机的屏幕打开至亮度(200±20Lx),并继续使情况静音. 在下一个循环中播放彩片,并将人体视网膜色素上皮细胞的体外暴露时间设置为3、6和12小时. 发现在连续不间断曝光超过12小时后,细胞显示出明显的损伤. [19] 2018年,Ratnayake等人进行了一项研究. 发现来自手机和计算机的蓝光会触发感觉信号,并在视网膜分子中产生“毒性”反应,杀死视网膜上的感光细胞,并且这些细胞死亡后无法恢复,从而导致黄斑变性. 50岁或60岁的人逐渐变得盲目.
[20] 2017年,赵瑞华等人进行了真人实验,以确保人眼的安全,允许参与者在没有任何保护的情况下玩iPad 1小时. 结果是仅1小时的光刺激,人眼黄斑色素密度从0.544降低至0.518,前后黄斑色素密度的差异具有统计学意义. 蓝光进入眼底并聚焦后,焦点不再落在视网膜上,而是落在视网膜和晶状体之间. 这会增加聚焦在眼睛中的光的色差距离,从而导致视力模糊和疲劳.
浙江省眼科医院的三名医护人员进行了他们自己的生下的孩子的实验,并允许他们每天使用电子产品20分钟,持续4天. 在iPhone和iPad上,他们选择了自己喜欢的游戏. 在电视上和投影上,观看您喜欢的片. 发现这四种电子产品可引起眼睛的假性近视. iPhone和iPad这两种电子产品显示出最大的损坏,并且假性近视的发生超过40度.

褪黑激素是一种引起嗜睡的重要神经激素. 刺激蓝光照射会导致褪黑激素分泌不足并引起睡眠问题. [21] Sang等人进行的真人实验. 在2018年,由22个健康儿童和20个成年人组在色温可调的LED吸顶灯制成的6200k和3000K照明环境下正常工作. 实验发现,在相同的光照条件下,蓝光对儿童睡眠的影响要比成年人大. 3000K彩色吸顶灯的蓝光含量低于6200K,夜间打开3000K弱蓝光吸顶灯,儿童的褪黑激素分泌更多. 睡得更好6200K的高色温和高蓝光的吸顶灯会导致儿童的困倦感增加,并且睡眠良好.
[22] Ostrin等人在2017年进行的一项研究. 发现17-42岁的成年人从日落到就寝时都戴防蓝光眼镜. 两周后,褪黑激素分泌增加了58%. PSQI(匹兹堡睡眠质量指数,该值越低,睡眠质量越好),得分下降,客观测量的睡眠持续时间统计学上显着增加了24分钟,从而改善了睡眠质量. [23]在2019年,Knufinke等人. 对休闲和远程出行具有相同舒适度的透明眼镜和防蓝光眼镜进行了实验研究,发现限制短波长蓝光的防蓝光眼镜的主观睡眠潜伏期比通透性更强短波长光. 眼镜较短,睡眠质量更好. 佩戴防蓝光眼镜的主观睡眠潜伏期缩短了7分钟,睡眠质量提高了0.6点,显示出更高的机敏性.


4种防止蓝光损害的保护措施
根据动物身上的蓝光,近年来体外培养的人类视网膜色素上皮细胞,以及一些可以确保人眼得到修复的真正的人类蓝光实验,可以看出蓝光影响了感光器. 视网膜上的细胞和视网膜色素上皮细胞和双极细胞可引起损害,降低人眼黄斑的密度,还抑制褪黑激素的分泌,破坏昼夜节律,引起失眠,并诱发近视发展.
但是神奇的是,人眼通常不会感觉到蓝光在伤害我们的眼睛. 由于人眼的视锥细胞太少,无法感知蓝光,因此它只能感知到1/40的绿色视锥细胞. 因此,实际上进入眼睛并且对眼睛造成伤害的蓝光的强度与人眼所见的外观不一致. 通过光通量或照度的计算公式:
ΦV= Km………(1)
其中,V(λ)表示明亮视野曲线中每个波长的相对灵敏度,Фe(λ)是光源每个波长的辐射通量,Km是最大范围内明亮视野曲线的亮度值555nm 683,单位为(lm / W)或(流明/瓦). 下图的左侧是手机发出的实际光谱能量曲线,右侧是人眼感知到的手机亮度曲线. 根据上述光通量(光通量是指人眼感知到的亮度)公式,计算出的人眼感觉到的手机蓝光峰值非常低,这使我们在玩手机时,蓝光是一种微弱的错觉,实际上并非如此. 眼睛的伤害仍然是实际的高强度蓝光,但是人眼感觉到的蓝光是如此微弱,无法检测到伤害.

为此,我们需要一副好的防蓝光眼镜. 什么是好的?不同的防蓝光眼镜对蓝光的不同波长带有不同的主张,导致眼镜的滤光光谱曲线不同,从而影响了眼镜的防蓝光效果. 让我们以深圳Ampfie的安泰蓝色防蓝光眼镜为例. 如下图所示,他可以将电子产品释放的高强度蓝光衰减65%,并且蓝光能量实际上减少了53%,从而确保了有效的防蓝光. 同时手机闪蓝光,蓝光不会影响其他光谱.

防蓝光不能与其他光谱一起过滤. 戴上防蓝光眼镜后,人眼在蓝光外所感觉到的亮度曲线的光谱是完全重合的,以确保在消费者使用期间不会出现色差. 比较通过安泰蓝色防蓝光眼镜后人眼所经历的亮度变化,如下图所示. 迪安蓝色防蓝眼镜前后人眼所感觉到的亮度光谱重合. 减少蓝光峰值将改善视觉疲劳;减少蓝光能量将有效保护视网膜感光细胞,减少自由基和活性氧的形成. 晚上减少蓝光将进一步平衡褪黑激素的分泌,从而改善睡眠并防止近视加深.
本文来自电脑杂谈,转载请注明本文网址:
http://www.pc-fly.com/a/shouji/article-261776-1.html
大家觉得你非常好
成为网络红人找网络推手阿建合作