
文章指南
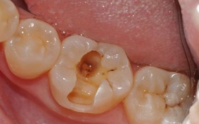
人们的牙齿很容易被细菌感染并发炎. 由于牙齿是人们咀嚼食物的重要组成部分,因此许多食物残留物会残留在牙齿之间的缝隙中. 如果您长时间不清洁牙齿,将会导致人们的牙齿不适. 炎症,导致一系列牙齿疾病. 有些人发现他们的牙齿上有洞,好像被虫子咬了一样. 那么,为什么牙齿会腐烂一个洞?


牙齿是我们经常忽略的部分. 在日常生活中,我们必须更加注意牙齿的卫生,否则很可能会损坏牙齿. 如今,越来越多的人的牙齿有某些问题. 有些人甚至牙齿腐烂. 因此,我们需要更多地了解牙齿,以帮助我们更好地保护牙齿.

首先,不良的饮食习惯
饮食对您的嘴和牙齿有很大的影响. 在正常生活中,如果吃一些甜或不健康的食物,很容易导致这些食物残留物粘在自己身上. 在牙齿上,很容易吸引一些昆虫,这会在您的牙齿上引起蛀牙,从而在您的牙齿上形成孔洞. 此外,在日常生活中尽量少吃硬质食物. 这些坚硬的食物也会对牙齿造成一些损害,使您在咀嚼过程中会掉牙.


第二,不良的卫生习惯

事实上,口腔卫生非常重要. 如果您在日常生活中没有养成良好的卫生习惯,则某些细菌很容易对牙齿造成损害,例如某些牙菌斑或其他细菌. 细菌可能会逐渐侵蚀您的牙齿,因此很容易形成牙齿上有一个洞牙齿怎么会烂个洞,因此我们在日常生活中必须特别注意牙齿的卫生,并每天刷牙以保护口腔.

如果将来您的牙齿有烂孔,则必须及时修复,以使牙齿恢复得更快. 此外牙齿怎么会烂个洞,如果您的牙齿没有这种情况,则应通过上述方法帮助自己预防这种情况. 在日常生活中多注意自己的饮食和卫生习惯可以帮助您有效避免蛀牙.
本文来自电脑杂谈,转载请注明本文网址:
http://www.pc-fly.com/a/shumachanpin/article-287072-1.html
我说的那些别人不一定知道