
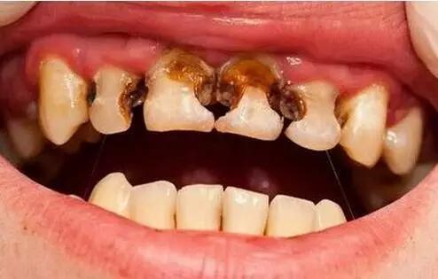
在现实生活中,许患有牙痛,有些患者患有牙痛,许正在寻找有效的牙痛治疗方法. 牙痛,以下将介绍一些可以有效缓解烂牙牙痛的措施.
1. 措施1: 蛀牙通常伴有牙痛,有些牙痛是顽固的牙痛. 最好服用汉治止痛片,它可以减轻暂时的疼痛,并且不允许其发展.
2. 措施2: 牙齿上有空洞. 通常,首先缓解疼痛,但是疼痛不等于治疗. 应注意口腔和牙齿卫生,以防止牙痛. 如果发生牙痛,如果无法通过上述方法缓解疼痛,应立即去医院急诊.
3. 措施3: 预防蛀牙引起的牙痛的关键是保持口腔卫生,因此,坚持早晚刷牙很重要. 这也是饭后漱口的好方法.
蛀牙表明牙齿健康存在问题. 如果不及时治疗,甚至可能影响其他健康的牙齿小孩牙齿烂个洞怎么办,并可能引起严重的疼痛和痛苦,因此请务必及时就医.


收藏此页面

订阅邮箱

裴雷能¥75
![]()

伯尔尼$ 618

裴雷嫩¥ 0

裴雷能¥ 69.8

牙齿出血该怎么办? ? ? ?
这是由牙龈炎引起的出血. 积极治疗牙龈炎就足够了.
牙齿怎么这么慢成长
婴儿的牙齿从零开始,出牙的时间和出牙的顺序都是父母非常关心的事情,因为这是评估孩子成长和成长的指标. 健康的婴儿通常在出生后六到七个月开始出牙.

孩子的牙齿问题
在这种情况下,请等到您十二岁或十三岁,并且全部换掉牙齿后小孩牙齿烂个洞怎么办,再去医院的口腔科找正畸医生,然后在校正之前检查您的整体牙齿. 通常,您必须注意口腔卫生并刷好牙.
矫正牙齿有年龄限制吗?
您好: 一般来说,牙齿正畸的时机应在牙齿快速生长之前或期间选择. 以下时期更适合正畸. 一种是乳牙的咬合期. 乳牙错位或牙列反向咬合(地面承压)和张开度
我右下臼齿附近的牙齿疼痛,我不知道名字叫
您是根尖周炎的症状,建议去口腔科进行根管治疗.
本文来自电脑杂谈,转载请注明本文网址:
http://www.pc-fly.com/a/shumachanpin/article-166215-1.html
领海的一切来犯之敌要痛击
为其利益服务