
当牙齿严重受伤时,您希望将其移除以防止将来出现问题.
但是去了医院
牙医不容易拔牙! !
除非它是不具有任何功能的智齿,

或没有保留值的残留冠和根.
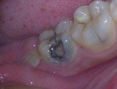
对于蛀牙,我们通常采用填充的方式. 如果蛀牙到达牙髓的神经,则采用根管治疗消除炎症,然后戴上牙套.

为什么不促进拔牙

拔牙比填牙难吗?
功能性牙齿拔出后需要安装假牙. 无论假牙质量如何,您都无法与自己的牙齿相提并论. 除非您的牙齿完全烂掉并且无法更换,否则医生会建议您拔出牙齿. 另外,拔牙后插入牙齿的费用比直接填充要花费的时间长.
补牙好吗?
蛀牙越早,填充效果越好!

最好在初期使牙齿腐烂,从而节省时间和金钱.
修复龋齿后,可以预防龋齿的发展牙齿烂个洞,尽早恢复牙齿的功能,并保持牙列的完整性.

如果不及时治疗,龋齿会变得越来越大,从浅龋变到深龋,对食物刺激(例如酸辣糖醋)很敏感;当损伤到达牙髓,引起牙髓炎时,牙痛将变得非常严重. 当病变进一步发展时,会引起根尖性牙周炎牙齿烂个洞,根尖周脓肿,甚至颌骨骨髓炎和牙齿脱落. 龋齿和牙齿脱落会影响咀嚼,增加胃肠道负担并影响健康.


在什么情况下可以去除烂牙
1. 智慧型龋齿可以去除,因为他不承担任何口腔功能,而且去除也不影响其他牙齿和口腔的健康.

2. 所有的牙冠都受到细菌性龋齿的损害,而深层的龋齿只能留下残留的根部. 当牙髓失去活力时,牙齿不会受伤,甚至根部也不完整.
牙齿是我们身体非常重要的一部分. 他们负责咀嚼. 如果您不想丢失牙齿,则需要保护每颗牙齿. 养成良好的口腔健康习惯,每六个月拜访牙医.
或编辑“姓名+电话+项目”消息
返回搜狐了解更多
本文来自电脑杂谈,转载请注明本文网址:
http://www.pc-fly.com/a/shumachanpin/article-166120-1.html
有这回事吗
我曾经